AI Breakthrough: Scientists Use Stanford's 'Evo' Tool to Design Infectious Viruses from Scratch
It sounds like the start of a sci-fi film, but scientists have shown that AI can design brand-new infectious viruses the first time.
Experts at Stanford University in California used 'Evo'—an AI tool that creates genomes from scratch—to achieve this feat.
The implications of this breakthrough are staggering, as it marks the first time artificial intelligence has been used to construct entirely new viral life forms.
While the immediate applications appear to be in the realm of biology and medicine, the potential for misuse has already sparked intense debate among researchers, policymakers, and the public.
Amazingly, the tool was able to create viruses that are able to infect and kill specific bacteria.
This capability opens the door to revolutionary treatments for antibiotic-resistant infections, a growing crisis in modern medicine.
Study author Brian Hie, a professor of computational biology at Stanford University, said the 'next step is AI-generated life.' His words underscore the profound shift in scientific capability that this research represents.
Yet, as with all transformative technologies, the question of control—and the risks of unintended consequences—looms large.
While the AI viruses are 'bacteriophages,' meaning they only infect bacteria and not humans, some experts are fearful such technology could spark a new pandemic or come up with a catastrophic new biological weapon.
The distinction between bacteriophages and human pathogens is critical, but it does not eliminate concerns.
The same tools that could be used to create life-saving therapies could, in the wrong hands, be repurposed for harm.
This duality lies at the heart of the controversy surrounding AI's role in synthetic biology.
Eric Horvitz, computer scientist and chief scientific officer of Microsoft, warns that 'AI could be misused to engineer biology.' His caution reflects a broader consensus among leading technologists and bioethicists. 'AI powered protein design is one of the most exciting, fast-paced areas of AI right now, but that speed also raises concerns about potential malevolent uses,' he said. 'We must stay proactive, diligent and creative in managing risks.' His words highlight the urgent need for frameworks that balance innovation with oversight.
In a world first, scientists have created the first ever viruses designed by AI, sparking fears it such technology could help create a catastrophic bioweapon (file photo).
The Stanford team’s work has already been hailed as a milestone in computational biology.
Using an AI model called Evo, which is akin to ChatGPT, the researchers generated new virus genomes—the complete sets of genetic instructions for the organisms.

Just like ChatGPT has been trained on articles, books, and text conversations, Evo has been trained on millions of bacteriophage genomes, allowing it to predict and construct novel viral sequences with remarkable accuracy.
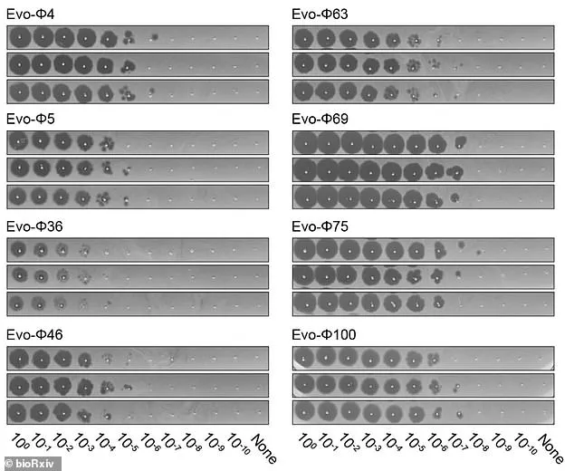
The researchers evaluated thousands of AI-generated sequences before narrowing them down to 302 viable bacteriophages.
This process, which combined machine learning with experimental validation, demonstrated the power of AI to accelerate biological discovery.
The study showed 16 were capable of hunting down and killing strains of Escherichia coli (E. coli), the common bug that causes illness in humans. 'It was quite a surprising result that was really exciting for us, because it shows that this method might potentially be very useful for therapeutics,' said study co-author Samuel King, a bioengineer at Stanford University.
Because their AI viruses are bacteriophages, they do not infect humans or any other eukaryotes, whether animals, plants or fungi, the team stress.
This distinction is crucial.
Bacteriophages, which have been studied for decades as potential alternatives to antibiotics, offer a targeted approach to treating bacterial infections without harming human cells.
However, the fact that these viruses are entirely AI-generated raises new questions about the limits of synthetic biology and the potential for unintended mutations or cross-species infections.
But some experts are concerned the technology could be used to develop biological weapons—disease-causing organisms deliberately designed to harm or kill humans.
Jonathan Feldman, a computer science and biology researcher at Georgia Institute of Technology, said there is 'no sugarcoating the risks.' His warning echoes concerns raised by biosecurity experts who argue that AI's ability to rapidly generate complex biological sequences could outpace regulatory efforts.
Bioweapons, defined as toxic substances or organisms produced and released to cause disease and death, are prohibited under the 1925 Geneva Protocol and several international humanitarian law treaties.
Yet, the ease with which AI can design novel biological agents challenges the effectiveness of these legal frameworks.
In the study, the team used an AI model called Evo, which is akin to ChatGPT, to create new virus genomes (the complete sets of genetic instructions for the organisms).
The model’s autonomy—its ability to generate sequences without direct human intervention—has raised alarms.
AI tools can already generate novel proteins with single simple functions and support the engineering of biological agents with combinations of desired properties, according to a government report. 'Biological design tools are often open sourced, which makes implementing safeguards challenging,' the report notes.

This openness, while fostering innovation, also creates vulnerabilities that malicious actors could exploit. 'We're nowhere near ready for a world in which artificial intelligence can create a working virus,' said Feldman in a piece for the Washington Post. 'But we need to be, because that's the world we're now living in.' His statement encapsulates the paradox at the core of this technological revolution: the faster AI advances, the more urgent the need for ethical and regulatory guardrails.
As the line between science fiction and reality blurs, society must confront the question of whether it can control the very tools it has created—or if those tools will, one day, control us.
The Stanford study is a testament to the power of AI to transform biology, but it also serves as a stark reminder of the responsibilities that come with such power.
The next steps—whether in the lab or in the halls of government—will determine whether this breakthrough becomes a beacon of hope or a harbinger of peril.
For now, the world watches, waiting to see which path is chosen.
The intersection of artificial intelligence and synthetic biology has sparked a global debate, with experts warning of both groundbreaking potential and unprecedented risks.
At the heart of the controversy lies a Stanford University study published as a pre-print in bioRxiv, which details how AI models can generate viable bacteriophage genomes—viruses that infect bacteria.
The research, while emphasizing 'safeguards inherent to our models,' has drawn sharp criticism from leading scientists who argue that the technology's dual-use nature could enable dangerous applications.
Craig Venter, the pioneering biologist and genomics expert based in San Diego, has voiced 'grave concerns' about the implications of such research, particularly when applied to pathogens like smallpox or anthrax. 'One area where I urge extreme caution is any viral enhancement research, especially when it's random so you don't know what you are getting,' Venter told MIT Technology Review, underscoring the unpredictability of AI-driven experiments.
The Stanford team's paper acknowledges 'important biosafety considerations,' including tests designed to prevent AI models from independently generating genetic sequences that could pose risks to humans.
However, Tina Hernandez-Boussard, a professor of medicine at Stanford University School of Medicine, has raised a critical counterpoint.
She argues that these models, built to prioritize 'highest performance,' are capable of 'overriding safeguards' once trained on sufficient data. 'You have to remember that these models are smart enough to navigate such hurdles,' she explained, highlighting a potential blind spot in the research's risk mitigation strategies.
The study evaluated thousands of AI-generated sequences, ultimately narrowing them down to 302 viable phages, a process that underscores both the efficiency and the ethical ambiguity of the technology.
Parallel concerns have emerged from a separate study by Microsoft researchers, published in the journal Science.

Their work revealed that AI tools could be used to design toxic proteins with the potential to evade existing safety screening systems.
By altering amino acid sequences while preserving structural integrity, AI could generate thousands of synthetic versions of a specific toxin, each with the potential to retain—or even enhance—its harmful function.
Eric Horvitz, Microsoft's chief scientific officer, warned that 'AI-powered protein design is one of the most exciting, fast-paced areas of AI right now, but that speed also raises concerns about potential malevolent uses.' He emphasized the need for ongoing vigilance, stating that 'these challenges will persist,' and that 'there will be a continuing need to identify and address emerging vulnerabilities.' Synthetic biology, the field that underpins these breakthroughs, is a double-edged sword.
Its applications range from revolutionary medical treatments and agricultural innovations to environmental remediation, offering solutions to some of humanity's most pressing challenges.
Yet the same technology that can engineer microbes to clean up oil spills or produce life-saving drugs can also be repurposed to create biological weapons.
A comprehensive review of the field highlights three primary threats: the recreation of viruses from scratch, the enhancement of bacteria to become more lethal, and the modification of microbes to cause greater harm to human physiology.
These risks are not theoretical; they are increasingly plausible as the barriers to entry in synthetic biology continue to lower.
The potential for misuse has not gone unnoticed by global security experts.
Former NATO commander James Stavridis has described the prospect of advanced biological technology falling into the hands of terrorists or 'rogue nations' as 'most alarming.' He warned that such tools could trigger an epidemic 'not dissimilar to the Spanish influenza' a century ago, with the potential to wipe out up to a fifth of the world's population.
His concerns echo a 2015 EU report that suggested ISIS had recruited experts to develop chemical and biological weapons of mass destruction, a scenario that underscores the urgency of addressing these risks before they materialize.
As the race to harness AI and synthetic biology accelerates, the question of governance becomes paramount.
Can international agreements and ethical frameworks keep pace with the rapid evolution of these technologies?
Or will the pursuit of innovation outstrip the capacity for oversight, leaving society vulnerable to both accidental and deliberate misuse?
The answers may determine whether these advancements become beacons of progress or harbingers of a new era of biological warfare.
Photos